AOTRAUMA.ORG Центр Илизарова  

Ортопедия и травматология Общие вопросы/General questions Help Информационные технологии в медицине
 вверх
 отправить
 поиск
 админ
 главная


Остеома
Ортопедия и травматология Отправлено Sergey Zyryanov 02 Апрель 2002, 09:10
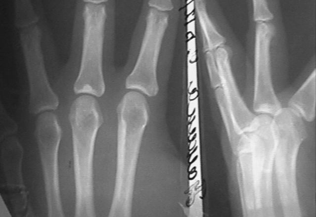
У больной П 30 лет появились боли 3 месяца назад в области пальца. В течении последнего месяца появилось образование. При осмотре на ладонной поверхности 3 го пальца на уровне межпальцевой складки пальпируется образование 03*04 см плотное болезненное. Сделана рентгенограмма. Мной расценено, что у больной имеется два заболевания: 1) Фиброма пальца 2) Остеома? основания основной фаланги случайно найденная. Планируется иссечение фибромы с гистологическим исследованием. Повторное рентгенологическое исследование через год. Уважаемые коллеги, как по вашему мнению поступить с костным образованием фаланги?Сергей Зырянов ЦРБ Новосибирская область г Куйбышев


<  |  >

 

  • Сообщения о Ортопедия и травматология
  • Также Sergey Zyryanov
  • Связаться с автором
  • Файл-вложение
  • Кликните для загрузки файла osteoma.jpg
    29KB (30699 bytes)

  • Ответить

    Re: Остеома
    Евгений Чекашкин 06 Апрель 2002, 12:37
    Уважаемый Сергей !

    Спасибо за презентацию.
    Хотелось бы узнать , что Вы нашли во время операции.(сесамовидная кость?,ганглион? фиброма ?.

    До встречи в ортофоруме,

    Евгений
    [ Ответить ]

    Re: Остеома
    Евгений Беляев 06 Апрель 2002, 12:39
    Уважаемый колега! Думаю, что с остеомой затягивать не следует. По нашему мнению необходимо произвести ее иссечение тыльным доступом через "окончатую" остеотомию с последующей аутопластикой дефекта костным трансплантатом.

    Беляев Евгений.
    СПб, Госпиталь для ветеранов войн.
    [ Ответить ]


    ( Ответить )

    Powered by Zope  Squishdot Powered MedLink
    Посетитель: 0011983
      "По форме правильно, а по существу - издевательство" В.И.Ленин
    ©2001-2019Orthoforum Coordinator.
    [ Главная | Отправить сообщение | Поиск | Админ ]