AOTRAUMA.ORG Центр Илизарова  

Ортопедия и травматология Общие вопросы/General questions Help Информационные технологии в медицине
 вверх
 отправить
 поиск
 админ
 главная


Контрактура коленного сустава
Ортопедия и травматология Отправлено Sergey Zyryanov 27 Март 2002, 08:16
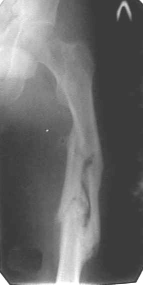
У больного травма 9 месяцев назад. Перелом бедренной кости. Проводилось лечение скелетным вытяжением, гипсовой повязкой. С октября 2001г прекращена иммобилизация. Обратился в нашу больницу в марте 2002г. Имеетсяразгибательная контрактура . Обьем движения в пределах 5 градусов. Предполагается приращение четырехглавой мышцы в области перелома. Планируем проведение операции удлинения сухожилия четырехглавой мышцы.


<  |  >

 

  • Сообщения о Ортопедия и травматология
  • Также Sergey Zyryanov
  • Связаться с автором
  • Файл-вложение
  • Кликните для загрузки файла contrac.jpg
    11KB (12083 bytes)

  • Ответить

    Re: Контрактура коленного сустава
    Евгений Чекашкин 27 Март 2002, 23:54
    Уважаемый Сергей !

    При разгибательной контрактуре в коленном суставе так же происходит образование спаек в верхнем завороте коленного сустава, разделение которых
    улучшает сгибание. технически процедура проста и не занимает много времени и на моем опыте работала.
    Через стандартный наружный артроскопический порт в полость сустава вводится тупой троакар (из артроскопического набора) и веерообразным движением разрываются образовавшиеся спайки.Для послеоперационной аналгезии в коленный сустав можно ввести локальный анеастетик 10-15 мл.
    После этого манипуляция на суставе. разрешение контрактуры во многом зависит от самого больного насколько активно он занимается. Четырехглавую мышцу я пробовал удлинять , но в моих руках результат неважный - возникает проблема с активным разгибанием в последущем.

    Удачи,
    Евгений
    [ Ответить ]

    Re: Контрактура коленного сустава
    В.Е.Казеннов 28 Март 2002, 18:19
    Здравствуйте, уважаемый Сергей!

    Не разовьется ли после планируемого Вами удлинения сухожилия четырехглавой мышцы недостаточность этой мышцы?

    В нашей клинике при подобных случаях проводят миолиз четырехглавой мышцы с целью устранения третьей точки фиксации.
    После операции рано начинаем физиофункциональное лечение.


    С уважением,
    В.Е.Казённов
    [ Ответить ]

    Re: Контрактура коленного сустава
    А.В.Владзимирский 28 Март 2002, 18:24
    Добрый день!

    Мы рекомендуем миолиз и удлинение сухожилия четырехглавой мышцы.

    С уважением,
    А.В.Владзимирский
    [ Ответить ]


    ( Ответить )

    Powered by Zope  Squishdot Powered MedLink
    Посетитель: 0011984
      "По форме правильно, а по существу - издевательство" В.И.Ленин
    ©2001-2019Orthoforum Coordinator.
    [ Главная | Отправить сообщение | Поиск | Админ ]